The Source Difference for
Simplifying Modern Endodontics
This course is designed for dentists at all stages of their careers, whether you are a recent graduate looking to build confidence in endodontics, or an experienced practitioner seeking to refine and update your techniques. Our goal is to provide a simplified, practical approach to modern endodontics that can be immediately applied in daily practice.
Throughout the program, we will break down endodontic concepts step by step, covering everything from accurate diagnosis and case selection to cleaning, shaping, and obturation. Each module is structured to give you a systematic framework, ensuring that complex procedures become more approachable and reproducible. By the end of the course, you will have the knowledge, skills, and confidence to handle endodontic cases efficiently while achieving predictable, high-quality outcomes for your patients.
What Sets This Program Apart:
-
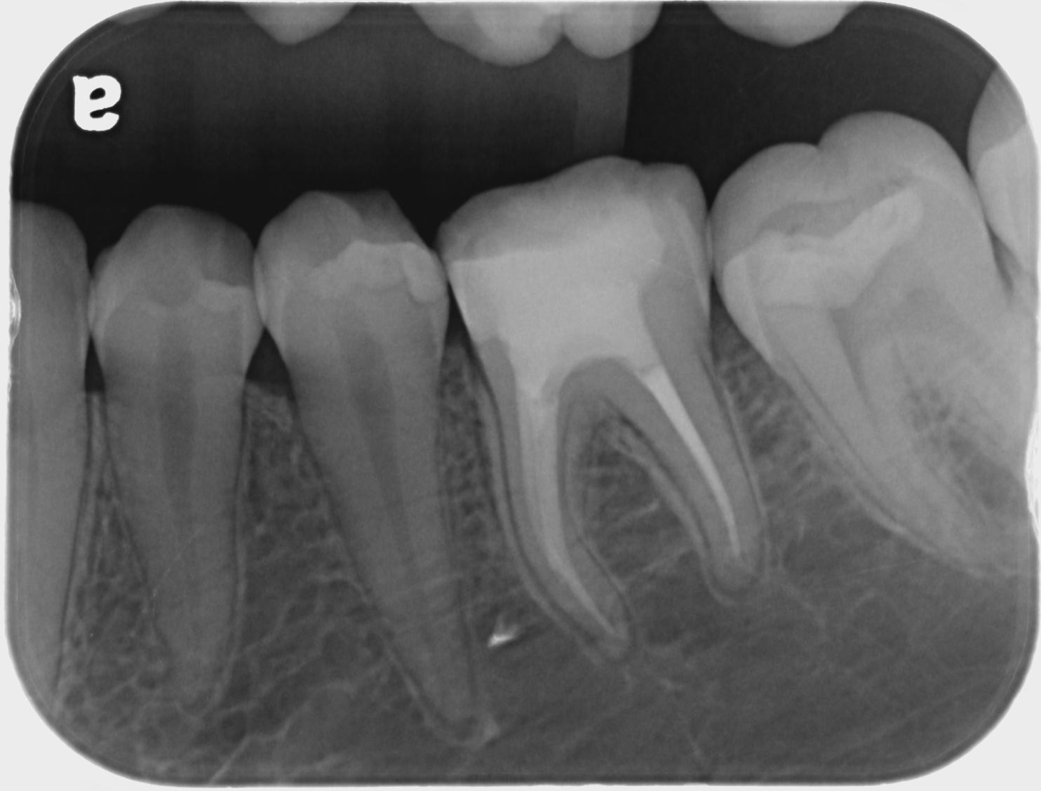
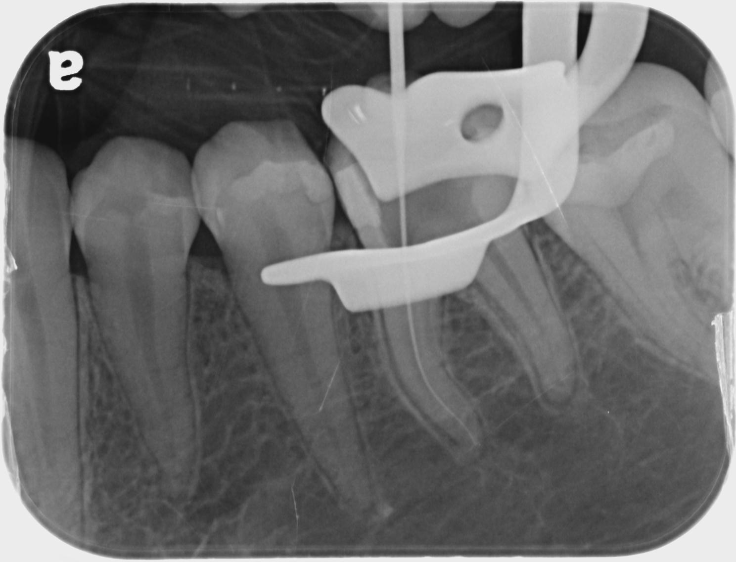
Real world Molar Endo: Participants receive CBCT datasets for molar teeth and scroll through the slices while navigating canals, creating an ultra realistic clinical scenario.
-
Quantity of Educators: We maintain a high educator to learner ratio, with three endodontists present to ensure individualised, hands on, one on one feedback for every participant.
-
Microscope-Driven Learning: Education is delivered through the microscope, with demonstrations and hands-on opportunities to practice using the microscope on your own teeth.
-
A–Z Endodontic Workflow: An A–Z endodontic workflow, from diagnosis through obturation, covering hot topics including cracked teeth and vital pulp therapy.
-
Post-Course Mentorship: Ongoing post course mentorship will be provided after the course.
-
CBCT-Guided Precision Endo: CBCT-guided endodontics teaches predictable, formula-based endo using CBCT for precision, replacing guesswork with confidence.
-
Street Skills: Learn real-world tips and tricks from three endodontists’ workflows, including how to manage complications like navigating ledges.
-
Ultra-Realistic Practice Teeth: Ultra-realistic 3D-printed teeth are provided for practice, with simulated complications such as navigating ledges incorporated into training.
Course Schedule
Join us to enhance your implant dentistry expertise and provide your patients with the highest standard of care.
Day 1
May 22nd
9:00AM - 5:00PM
- Diagnosis
- CBCT and Endodontics
- Endodontic Radiology (Hands On)
- Acute Management of Pain
- Tips for Profound Anaesthesia
- Treatment Planning
- Access Cavities
- Canal Preparation (Hands On)
- CBCT Guided Molar Endo (Hands On)
- Rotary Instrumentation
Day 2
May 23rd
9:00AM - 5:00PM
- Irrigation (Hands On)
- Medicaments
- Obturation (Hands On)
- Vital Pulp Therapy
- Management of Complications
- Correcting Ledges
- Restoring the Endodontically Treated Tooth
- Cracked Teeth
Experience the highlights, hands-on moments, and action from our previous course.
Hear From Some Of Our Previous Students
Meet The Speakers
Dr Yu-Yao Teoh
Dr Yu-Yao Teoh, or simply “Yao” to his patients, obtained his dental qualification with honours from the University of Queensland in 2014. During his undergraduate study, he was awarded the Vardiman Dental Study Association prize for highest clinical marks.
After graduation, Yao entered the world of dental research at the University of Queensland and obtained his Master of Philosophy in endodontic biomaterials. His work on novel materials to improve the outcomes of root canal...
Dr Sepanta Hosseinpour
DDS MPH PhD(UQ) DClinDent (Endo) FHEA
Dr Sepanta Hosseinpour is a Clinical Senior Lecturer and Chief Examiner at the School of Dentistry, The University of Queensland, a Fellow of the UK Higher Education Academy, specialist endodontist, and Examiner for the Royal Australasian College of Dental Surgeons Primary Examinations. He obtained his Doctor of Dental Surgery and Master of Public Health in 2017 and later completed a PhD at The University of Queensland in 2023. His doctoral research was recognised with the Dean’s Award for outstanding thesis.
Sepanta completed three years of specialist training and was awarded the Doctor of Clinical Dentistry in Endodontics. He has authored and edited a book on regenerative dentistry and published over sixty peer reviewed journal articles and book chapters. He is an active researcher and educator with interests in endodontics, regenerative dentistry, biomaterials, and dental education, and regularly delivers invited lectures nationally and internationally at major professional meetings and academic conferences worldwide, supporting clinical excellence and education across the profession globally.
Dr Kiran Kumar
BDS MDS DClinDent (Endo) FRACDS MRACDS (Endo)
Dr Kiran Kumar completed his Bachelor of Dental Surgery and specialist training, earning a Master’s degree in Conservative Dentistry and Endodontics in 2000. He built an accomplished career as a specialist endodontist in India and Abu Dhabi before relocating to Australia in 2010. After working as a general dentist in Rockhampton, his commitment to endodontics led him to requalify as a specialist. In 2018, he commenced the Doctor of Clinical Dentistry in Endodontics at the University of Queensland, completing it in 2020.
With over 25 years of specialist experience, Dr Kiran has published peer-reviewed research and lectured locally and internationally on endodontic topics. He is highly skilled in managing complex cases, including dental trauma, and is a Fellow of the Royal Australasian College of Dental Surgeons by examination since 2007. He contributes weekly to endodontic education at the University of Queensland. Outside dentistry, he enjoys badminton, cricket, bushwalking, and spending time with his wife and two children.
